Here are a few examples of some of the impressive results possible with treatment by Dr. Choi

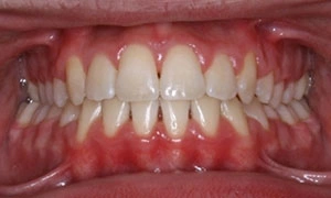
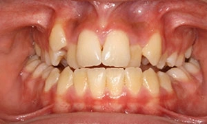
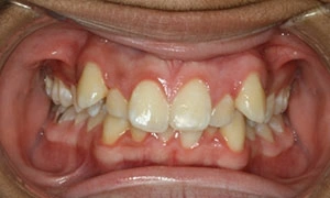
Intraoral dental photograph showing crowded upper and lower teeth requiring orthodontic treatment.
Before
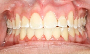
Close-up of aligned white teeth showing successful orthodontic treatment results in dental setting.
After
Crowding with Class 2 Overbite
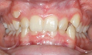
Close-up of anterior teeth showing diastema (gap) between upper central incisors before orthodontic treatment.
Before
Close-up view of properly aligned upper and lower teeth in ideal occlusion, demonstrating orthodontic treatment results.
After
Crossbite
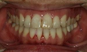
Close-up intraoral view of upper and lower teeth showing dental alignment and gum health.
Before
Close-up of upper and lower teeth showing orthodontic alignment and bite relationship in clinical setting.
After
Extension: Upper Four
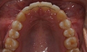
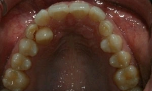
Dental arch view showing upper teeth alignment during orthodontic treatment evaluation.
Before
Upper dental arch showing natural teeth alignment viewed from above inside the mouth.
After
Extension: Upper Four
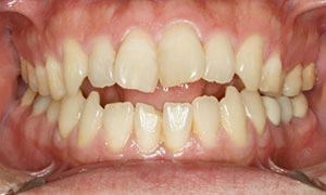
Close-up view of aligned upper and lower teeth showing proper dental occlusion and bite alignment.
Before
Close-up intraoral view of upper and lower teeth showing dental alignment and bite relationship.
After
Open Bite

Family-Friendly
Orthodontic Care Starts Here