Common Orthodontic Problems and Their Treatment
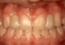
Crowding of the Teeth

Before

After
What is it?
Crowded teeth occur either when a person’s jaw is relatively small or their teeth are relatively large, meaning there is not enough space for the teeth to form in neat rows. Typically, some teeth will be crooked, overlap others, or be out of place.
How is it treated?
Nearly all cases of crowded teeth can be treated with braces. If the patient is already an adult, a combination of braces and expanders might be used. In any case, braces will be used for approximately 2 years.
Open bite

Before

After
What is it?
An open bite is a type of misalignment that leaves a small gap or opening between the upper teeth and the lower teeth. It is often seen in children who developed the habit of sucking their thumb, which blocks the normal eruption of the teeth.
How is it treated?
Braces can correct the alignment of the teeth, while a device known as a crib can help correct any bad habits that may have contributed to the problem. Essentially, a crib is a barrier device that blocks both thumb-sucking and tongue-thrusting, the two major causes of an open bite. Many parents report that negative habits are correct within days of crib placement, and the braces correct the misalignment in about two years.
Deep overbite

Before

After
What is it?
Normal upper teeth slightly overlap the bottom teeth vertically. In a deep overbite, this overlap is exaggerated, which changes the shape of the jawline, and can sometimes lead to jaw pain. Though it is the upper teeth that seem more prominent, the problem is usually due to the lower jaw being set too far back.
How is it treated?
Treatment generally focuses on correcting the alignment of the lower jaw. This can be accomplished with appliances that gently apply continuous pressure to the lower jaw, gradually pushing it out. The sooner an overbite is treated, the easier the process. Adults sometimes require surgery to fully correct an overbite.
Underbite

Before

After
What is it?
As with a deep overbite, an underbite is usually caused by the lower jaw being poorly aligned. In these cases, the lower teeth are aligned in front of the upper row. In severe examples, there may even be a gap between the upper and lower teeth at the front, which can make it hard to chew and lead to jaw pain, enamel erosion, and other issues.
How is it treated?
Interventions are most successful when treatment is started as early as possible. For children, a choice might be made between external headgear and expanders. For adults, surgery might be necessary as well.
Missing lateral incisors

Before

After
What is it?
This congenital condition leads to the lack of one or more teeth in the front of the jawline. Because of the extra space caused by the missing teeth, the remaining teeth will often have large gaps between them.
How is it treated?
The first step is to realign the remaining teeth into their appropriate spaces. Like most treatments involving braces, this can usually be accomplished in about 2 years. Then, the dentist simply creates an artificial bridge that fits perfectly into the empty spaces, replacing the missing teeth.
Spacing of the teeth

Before

After
What is it?
Wide spaces between the teeth are often caused either by unusually small teeth or by missing teeth. In some cases, the gaps might be symmetrical and regular; in others, there might only be a single gap, such as between the front two teeth.
How is it treated?
If a client chooses to have their gaps closed, the options will depend on the situation. If there are small gaps, one of the simplest treatments could be veneers. Veneers bond to the teeth and allow dentists to change their apparent size, shape, and spacing. If more extensive realignment is needed, braces could be an option.
Overjet

Before

After
What is it?
While the term overbite refers to how far the upper teeth overlap or cover the lower teeth, overjet measures how far the upper teeth project in front of the lower teeth. For example, a deep overbite is easiest to notice when we look at someone’s smile from directly in front, whereas an excess overjet would be most noticeable from their profile.
How is it treated?
Since excess overbite and overjet are related – in fact, they often occur together – their treatments are similar. As with overbite, overjet is usually treated with braces over a period of about two years.
Early preventative treatments
Not all orthodontic issues require full braces, much less surgery. When problems are identified early, many problems can be minimized or avoided. Early treatment, known by dentists as Phase 1, involves simpler, less-invasive solutions such as partial braces, expanders, and retainers. Be sure to ask us about any of your orthodontic concerns during your next checkup.
Family-Friendly
Orthodontic Care Starts Here
